Skip to content

¿Cómo responde el cuerpo ante el SARS-CoV-2? El virus responsable de causar el COVID-19

julio 13, 2020


photo_camera Erik McLean

¿Cómo responde el cuerpo ante el SARS-CoV-2, el virus responsable de causar el Covid-19? Esta es la gran incógnita que tiene de cabeza a los inmunólogos. Entre muchas otras… Porque hasta ahora, hay más interrogantes que certezas en torno a cómo los seres humanos reaccionamos ante el Coronavirus, cómo nos defendemos, sus síntomas o ausencia de ellos, y si somos capaces de generar inmunidad y por cuánto tiempo.

Frente a este contexto, una de las cuatro líneas de trabajo de la Mesa Social Covid-19 UC -instancia interdisciplinaria e interuniversitaria para aportar a la lucha contra la pandemia desde la academia, liderada por la Vicerrectoría de Investigación– es precisamente la investigación en inmunología.

Aquí existen dos grupos trabajando en paralelo. El primero es el desarrollo de una vacuna, o Mesa 4A. El profesor de la Facultad de Ciencias Biológicas y director del Instituto Milenio de Inmunología e Inmunoterapia, IMIIAlexis Kalergis y su equipo, se encuentran trabajando en cuatro prototipos de vacunas contra el SARS-CoV-2. Estas utilizan fragmentos de proteínas, material genético y bacterias vivas -pero inofensivas- , que pueden expresar algunos de los componentes del coronavirus.

Créditos fotografía: Louis Reed, Unsplash

Los ojos del país entero, y del mundo, están puestos en los distintos desarrollos de vacunas liderados por Estados Unidos y China, y que se están realizando en distintos puntos del globo, incluida América Latina. (Ver artículo en la revista Nature: “Latin American scientists join the coronavirus vaccine race: ‘No one’s coming to rescue us'”).

Sin embargo, su creación, testeo y validación, son lentos. En el caso de la vacuna chilena, se espera que la prueba en humanos comience recién el próximo año, si todo va bien.

“El desarrollo de una vacuna contra SARS CoV-2 es clave para conferir inmunidad a la población contra este virus. Este desafío ha concertado esfuerzos de muchos países, incluyendo Chile, sin embargo, su uso generalizado como medida profiláctica tomará tiempo. En este contexto surge la necesidad de explorar tratamientos que podrían ser promisorios a más corto plazo. Es importante destacar que para todas las iniciativas propuestas es vital entender el funcionamiento sobre la respuesta inmune”, afirma la también académica de Ciencias Biológicas Isabel Yuseff, directora de la Asociación Chilena de Inmunología – Asochin.

Créditos fotografía: AS Chile

Es por esto que dentro de la línea de inmunología hay un segundo grupo, la Mesa 4B. Su trabajo está centrado en analizar la inmunidad y la respuesta inmune de los pacientes dados de alta de Covid-19, y otras estrategias terapéuticas en mecanismos inmunológicos.

“El primer desafío fue reunir inmunólogos en Chile para discutir la respuesta inmune al Covid-19”, explica Isabel Yuseff. Es nuestra respuesta inmune la que nos va a salvar del Covid-19”, sentencia esta inmunóloga y bióloga celular.

La respuesta inmune es clave

A fines de abril pasado se conformó el grupo de trabajo liderado por Yuseff, e integrado por tres académicos de la Universidad de Chile y un investigador de la Fundación Ciencia y Vida. El primer paso fue realizar un levantamiento de información respecto de la investigación en inmunología y Covid-19 en Chile. Esto, con el objetivo de facilitar la participación y colaboración entre grupos de inmunólogos con diferentes capacidades y acceso a infraestructura. De esta manera, fortalecer la investigación en Coronavirus en el país.

Créditos fotografía: Dra. Isabel Yuseff

Este trabajo se realizó a través de distintas iniciativas. Se efectuó un catastro, en primera instancia, a socios de la Asociación Chilena de Inmunología, sobre su participación en líneas de investigación enfocadas en la respuesta inmune inducida por SARS-CoV-2 y tratamientos dirigidos a modular esta respuesta. La mayoría de quienes respondieron la consulta estaban interesados en postular a iniciativas de investigación relacionadas con Covid-19; varios de ellos ya se encontraban desarrollando estudios dirigidos a evaluar la respuesta inmune contra SARS-CoV-2. Existe, además, un gran interés por establecer redes colaborativas.

Un estudio realizado por la Universidad del Desarrollo en 13 comunas de la Región Metropolitana, publicado a fines de mayo pasado, determinó que de un total de 446 exámenes analizados, apenas un 2,9% de las personas generaron anticuerpos contra el COVID-19.

Créditos fotografía: AS Chile

Una investigación publicada en la revista Nature, mostró que los anticuerpos contra el coronavirus se desvanecieron rápidamente, conclusión similar a otro trabajo publicado en China. De acuerdo al estudio, los anticuerpos contra el coronavirus pueden durar un máximo de tres meses después de que una persona se infecta con Covid-19.

Los investigadores examinaron a 37 personas asintomáticas (que nunca desarrollaron síntomas), en el distrito de Wanzhou de China. Compararon su respuesta de anticuerpos con la de 37 personas con síntomas. Los investigadores encontraron que las personas sin síntomas tenían una respuesta de anticuerpos más débil que aquellas con síntomas.

En ocho semanas, el 81% de las personas asintomáticas vieron una reducción en los anticuerpos neutralizantes, en comparación con el 62% de los pacientes sintomáticos. Además, los anticuerpos cayeron a niveles indetectables en el 40% de las personas asintomáticas, en comparación con el 12,9% de las personas sintomáticas, según los hallazgos del estudio. De esta manera, la inmunidad frente al Covid-19 sería menor a la desarrollada ante otros tipos de coronavirus, como el Sars y el Mers, en que duraría cerca de un año en ambos casos. 

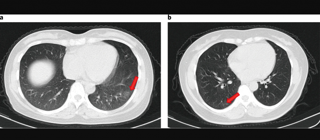
Gráfica: Tórax de dos pacientes asintomáticos

Es por esto que otra de las acciones de la mesa 4B ha sido generar información relevante respecto de estudios de CoVid-19 y su diagnóstico. De esta manera, entregar perspectivas, basadas en evidencia científica, para la toma de decisiones en el ámbito de salud pública. Se discutieron los métodos de diagnóstico para CoVid-19, como la validación de pruebas serológicas para detectar anticuerpos y su interpretación. También se planteó lo contraproducente de la medida de implementar carnets de alta, dado que los criterios para definir si alguien es inmune o no a SARS-CoV-2 aún no están claros.

Otra gran incógnita son los pacientes que dan positivo al Covid-19, pero que no presentan síntomas. Se calcula que estos representan el 40% de las personas infectadas. Luego, hay una parte que presenta síntomas leves, que pueden permanecer en el domicilio, mientras que otra desarrolla una enfermedad severa, requiriendo oxígeno y hospitalización.

“De los asintomáticos no sabemos nada. La producción de anticuerpos sería más baja. Pero por otro lado, hay estudios recientes que muestran que un tipo de células, los linfocitos T, tendrían un rol muy importante en la respuesta contra el virus”, dice la académica.

¿Luz al final del túnel?

El rol de este grupo de científicos, al alero de la Mesa Social y la Sociedad Chilena de Inmunología, ha sido generar redes y plataformas para conectar a quienes trabajan en líneas afines, y recopilar y analizar la información disponible.

Créditos fotografía: Caroll Beltrán

“Lo que buscamos es generar un puente de contacto  entre grupos que están trabajando temas similares. Queremos potenciar el trabajo colaborativo”, explica Caroll Beltrán, investigadora del laboratorio de Inmuno Gastroenterología del Hospital Clínico de la Universidad de Chile, quien participa en el grupo inmunología de la Mesa Social.

Es por esto que se realizarán una serie de webinars o seminarios a distancia, para que los especialistas presenten sus investigaciones, se genere discusión y trabajo conjunto. En la primera de estas iniciativas se dará a conocer las investigaciones que están realizando inmunólogos de las Universidad de Concepción, Universidad Austral y Universidad del Desarrollo, quienes se han centrado en la respuesta inmune y terapias de Covid-19. 

Todo esto con el objetivo de crear protocolos y tener la evidencia necesaria para la toma de decisiones a nivel de políticas públicas.

Créditos fotografía: Rtve

Asimismo, conscientes de la necesidad de difundir la información de manera masiva a la población, se encuentran trabajando en un documento e infografía que reúne lo que actualmente se conoce de la respuesta inmune contra SARS-CoV-2, su diagnóstico y tratamientos actualmente en evaluación. La idea es distribuir el material en hospitales y otras instituciones, de modo de llegar al público general.

También, impulsar estudios que determinen la correlación entre la respuesta inmune y enfermedades de base, como hipertensión, diabetes u obesidad (Ver entrevista a Catterina Ferreccio, académica del Departamento de Salud Pública UC) “El hecho que las personas tengan otras enfermedades, afecta la respuesta inmune? Sí afecta”, dice Beltrán. También hay un amplio campo de estudio respecto de la respuesta al Covid-19 de ciertos grupos, como los pueblos originarios, o aquellas comunidades que viven en las zonas de sacrificio ambiental.

Otro elemento es el emocional. “Los pacientes que sufren Covid-19 viven en un entorno -la pandemia- que genera un estrés importante. Nuestras defensas dependen del control del estrés. Es por esto que vamos a iniciar una investigación respecto de la relación entre coronavirus y los cambios de síntomas digestivos, en grupos de pacientes susceptibles a alteraciones psicosociales, diagnosticados con Síntoma de Intestino Irritable (más conocido como “colon irritable”)”, cuenta Caroll Beltrán.

Créditos fotografía: AS Chile

Caroll Beltrán es también secretaria de la Sociedad Chilena de Inmunología y explica que “esta experiencia que estamos viviendo es fundamental para tener una infraestructura diagnóstica, de desarrollo de vacunas, de protocolos y de guías que nos permitan enfrentar próximas pandemias”. Además, afirma “que la experiencia de esta pandemia nos desafía a generar un mejor trabajo colaborativo, integrativo, concordante con las necesidades de salud de nuestra sociedad”.

¿Próximos desafíos?

Entre los próximos desafíos, la Dra. Isabel Yuseff destaca tres: la trazabilidad o seguimiento de la enfermedad, que nos permita tenerla bajo control; contar con tratamientos asequibles para las personas, vacunas y/o medicamentos antivirales, que eviten más muertes; y entender cómo responde el cuerpo ante este virus. “Aún no lo sabemos”, finaliza.

Gestión de prensa: Nota original de Nicole Saffie



Contenido relacionado